ARIETTA 65

Reliability for the most critical decisions

Fujifilm understands the demand for the best technology, professional support, and the specialized tools necessary to perform comprehensive real-time ultrasound imaging for outstanding patient care. ARIETTA 65 continues our dedication and commitment to urology by providing a powerful platform with exceptional image quality, system reliability, and intuitive use of cutting-edge technology.

ARIETTA 65

Designed by Urologists… for Urologists

The ARIETTA 65 has many advanced and unique probes that fully cover the expanding range of procedures that benefit from ultrasound guidance.

See All Transducers
transducers

State-of-the-art digital architecture and advanced imaging features to redefine the capabilities of surgical ultrasound.

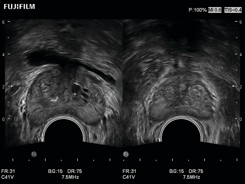
Prostate imaging using the C41V Transducer

Exclusive 200° field of view end-fire prostate biopsy transducer. Allows visualization of the entire gland from apex to base.

Prostate imaging using the C41V Transducer
Transperineal Biopsy using the C41L47RP Transducer

Ideal transducer for Transperineal Biopsy, Hydrogel Spacer Placement, Brachy LDR & HDR, Cryo, and MPMRI procedures.

Transperineal Biopsy using the C41L47RP Transducer
Testis Imaging using the L55 Transducer

Linear transducer that is ideal for scrotal and penile doppler imaging. Trapezoid Display extends field of view and enables visualization of entire structure.

Testis Imaging using the L55 Transducer
Prostate Imaging using the CL4416R1Transducer

Bi-Plane transperineal biopsy transducer with simulataneous imaging and elastography capability.

Prostate Imaging using the CL4416R1Transducer
Prostate Imaging using the CC41R2 Transducer

Side-Fire Bi-Plane prostate transducer with simulataneous display and wide scanning, as well as a 200° field of view.

Prostate Imaging using the CC41R2 Transducer
Kidney and Bladder Imaging using C253A Transducer

Curved array abdominal imaging and biopsy transducer with a 70° field of view, ideal for kidney and bladder imaging.

Kidney and Bladder Imaging using C253A Transducer

Features

Ergonomically designed to maximize function and flexibility

ARIETTA 65

LCD MONITOR

With a high contrast ratio and wide viewing angle, the 21.5 inch LCD monitor gives a rich representation of the display image.

MOBILITY

Easily moves from room to room, delivering real-time guidance effortlessly.

VISIBILITY

Swivel and height-adjustable to meet the clinician’s needs.

Programmable Presets

Fully customizable presets for each user.

EFFICIENT WORKFLOW

Easily access the pre-set configurations, transducer selection, and optimized image allocation.

HYGIENIC

Compatible with commonly used disinfectants.

Imaging Clearly Defined

State-of-the-art digital architecture and advanced imaging features to redefine the capabilities of surgical ultrasound.

This website uses cookies. By using this website you consent to our use of these cookies. For more information visit our Privacy Policy.

Got it