Fujifilm Healthcare understands that urologists demand high-quality technology, professional support, and specialized tools to best perform comprehensive real-time ultrasound imaging that enables outstanding patient care.
For precise urology ultrasound imaging, Fujifilm Healthcare offers premium level solutions that include:
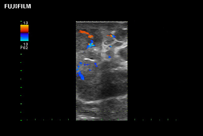
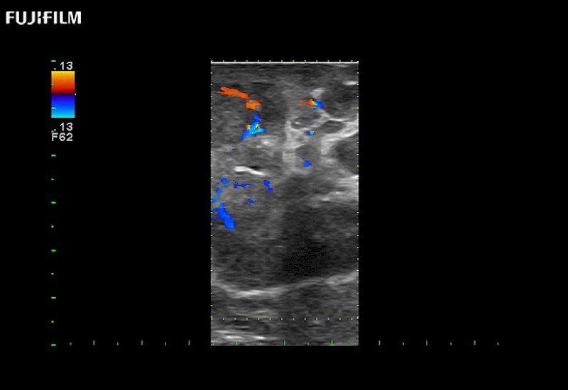
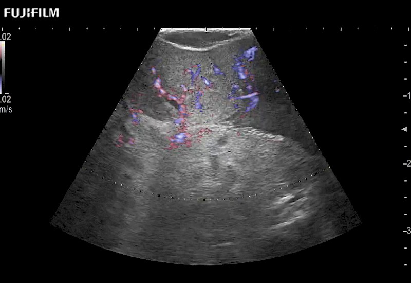
including: B-Mode, Color Doppler, Power Doppler, Fine Flow
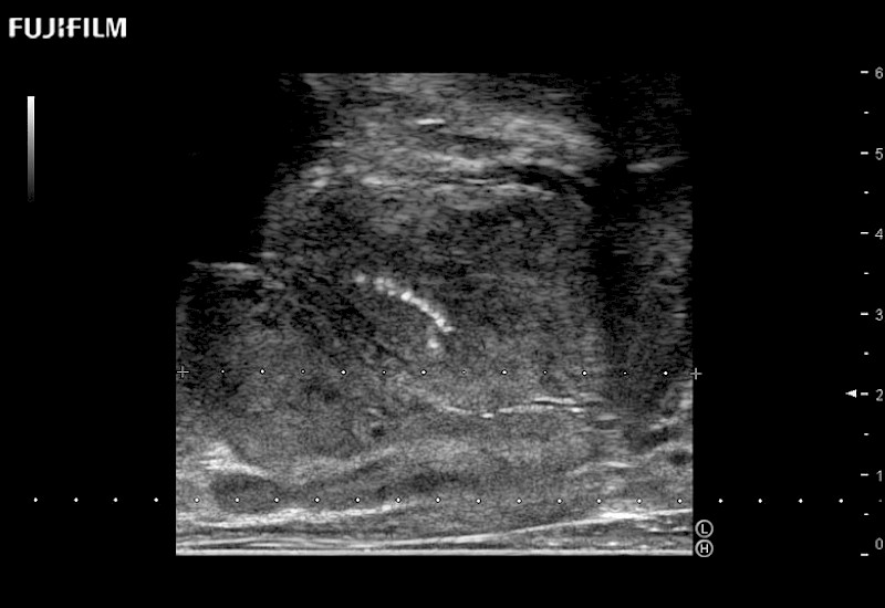
– better visualization of tumors to improve understanding of blood flow information
Our dedication to Urology allows us to offer superior image quality, outstanding system reliability and intuitive use of cutting edge technology.
Curved array deep penetration “T” style finger-grip transducer for open surgical procedures.
Main Specifications:
Main Specifications:
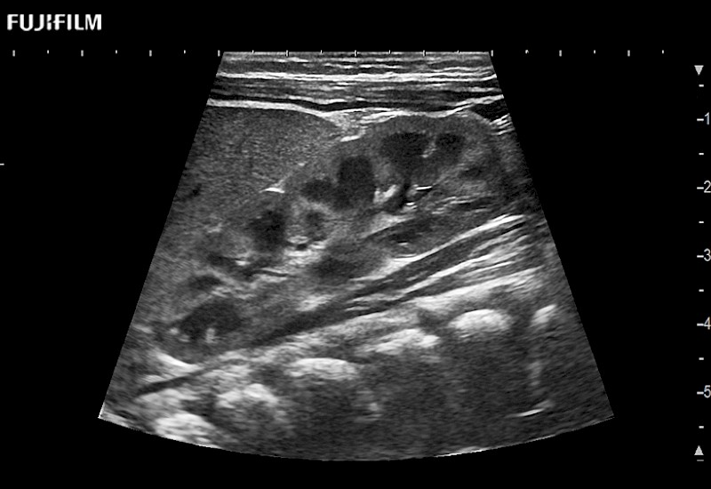
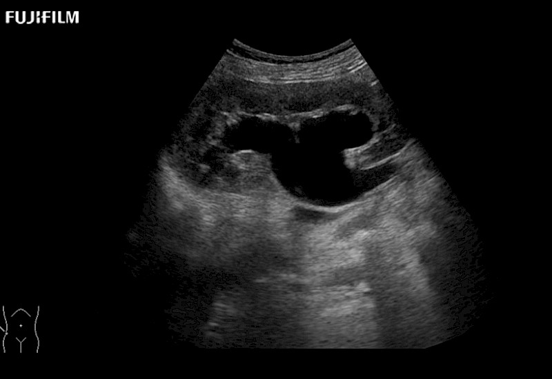
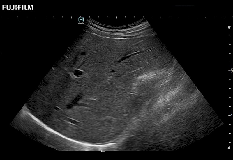
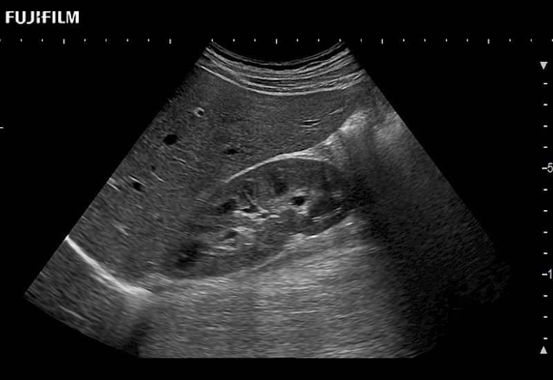
Abdominal transducer for biopsy, bladder and renal applications.
Main Specifications:
Ideal transducer for Transperineal Biopsy, Hydrogel Spacer Placement, Brachy LDR & HDR, Cryo, and MPMRI procedures.
Main Specifications:
Main Specifications:
Main Specifications:
Curved array 4-way laparoscopic transducer for better visualization of targeted lesions.
Main Specifications:
Exclusive linear array 4-way laparoscopic transducer for better visualization of targeted lesions.
Main Specifications:
Exclusive linear array rigid laparoscopic transducer for better visualization of targeted lesions.
Main Specifications:
Linear array side-fire “T” transducer for open surgical procedures.
Main Specifications:
Linear array side-fire “T” transducer for open surgical procedures.
Main Specifications:
Curved array “T” style finger-grip transducer for open surgical procedures.
Main Specifications:
Curved array deep penetration “I” style finger-grip transducer for open surgical procedures.
Main Specifications:
Hockey-stick linear array transducer is the transducer of choice for cervical spine scanning.
Main Specifications:
Main Specifications:
Main Specifications:
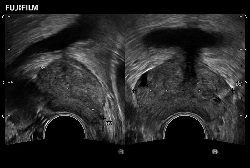
Exclusive 200° FOV end-fire prostate biopsy transducer.
Main Specifications:
Provides real-time imaging of both the sagittal and transverse planes
Main Specifications:
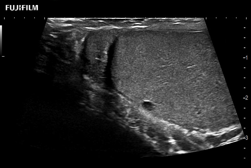
38mm footprint is ideal for scrotal and penile doppler imaging
Main Specifications:
Larger footprint is ideal for scrotal and penile doppler imaging
Main Specifications:
Designed for high-resolution imaging of the scrotal and penile regions. This advanced transducer offers exceptional image quality, user-friendly features, and specialized functionalities to support accurate urological diagnostics and enhance patient care.
Main Specifications:
Exclusive linear array robotic surgery transducer.
Downloads:
Robot-Assisted Partial Nephrectomy Brochure (.pdf)
Features:
Main Specifications:
The ARIETTA 750 incorporates all of the proven technologies and functions that medical professionals have come to expect from Fujifilm Healthcare.
ARIETTA 750 is the definitive diagnostic ultrasound solution for any clinical setting - Private Office, Imaging Center, or Hospital. The ARIETTA platform provides the ultimate in clinical performance with its state-of-the-art features and large user-friendly display.
Learn more
The ARIETTA 650 DI integrates trusted Fujifilm Healthcare technologies and features specifically designed for urology.
Ideal for urology practices, the ARIETTA 650 DI delivers exceptional diagnostic ultrasound performance, as well as surgical guidance. With its advanced imaging capabilities and large, user-friendly display, it supports accurate assessments and efficient workflows in private offices, clinics, and hospital settings.
Learn moreThe ARIETTA 65 incorporates proven technologies and functions that specialists have come to expect from Fujifilm Healthcare.
The advanced architecture of the ARIETTA 65 has been completely redesigned, and its premium performance is created by the commitment to produce exceptional "sound".
Learn more
Request a demo or contact us and we can help.
This website uses cookies. By using this website you consent to our use of these cookies. For more information visit our Privacy Policy.
Got it